„... Die Korrektur von Zahnfehlstellungen ist ein essentieller Bestandteil moderner Zahnheilkunde. Das revolutionäre Konzept der Aligner-Therapie fasziniert mich immer wieder: sicher, schnell und preiswert. Genau das, was unsere Patienten wünschen...“

Dr. Christian Deutsch Zahnarzt Uetersen

Korrektur von Zahnfehlstellungen

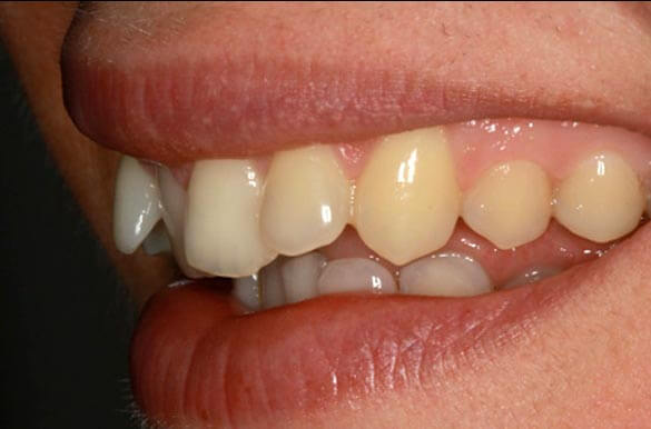
Gerade, weiße Zähne sind ein Ausdruck von Vitalität und gepflegtem Auftreten. Leider haben Zähne häufig die Tendenz, im Laufe der Jahre ihre Position zu verändern, was dazu führt, dass Ober- oder Unterkieferzähne schief werden. Viele erwachsene Patienten scheuen jedoch eine langwierige kostenintensive Behandlung mit festen Zahnspangen.

Wir in der Praxis von Zahnarzt Dr. Christian Deutsch in Uetersen sind darauf spezialisiert, eine sanfte, sichere, schnelle und preiswerte Korrektur Ihrer Zahnfehlstellung vornehmen zu können.

Denn: Zahnkorrektur ist auch bei Erwachsenen möglich - bis ins hohe Alter!

Als einer von wenigen Zahnärzten in Deutschland ist Dr. Christian Deutsch in Uetersen zertifiziert eine besonders schonende, schnelle und preiswerte Methode zur Korrektur von Zahnfehlstellungen anbieten zu können – den Inman Aligner.

Mit dem patentierten Inman Aligner können Ihre vorderen Zähne innerhalb weniger Wochen sanft und sicher in eine ideale Position geführt werden. Er ist geeignet als Einzelbehandlung oder um die Zähne vor einer ästhetischen Behandlung zu begradigen. Die meisten Fälle sind in 6-16 Wochen abgeschlossen. Da die Apparatur herausnehmbar ist, können Sie diese vollständig an Ihrem Lebensstil und aktuellen Bedarf anpassen.

Als Alternative zum Inman Aligner oder bei Patienten, bei denen der Inman Aligner nicht zur Anwendung kommen kann und eine Behandlung mit einer festsitzenden Zahnspange nicht notwendig ist, haben wir ebenfalls ein bewährtes Behandlungskonzept – Die Harmonie Schiene

Die Harmonie Schiene von Orthos ist eine durchsichtige, biegsame Zahnschiene und richtet schiefe Zähne bewährt, sanft, preiswert und unsichtbar. Da sie zum Herausnehmen ist, lässt sie sich wunderbar mit Beruf und Privatleben vereinbaren.

Haben Sie Fragen zur Korrektur von Zahnfehlstellungen oder möchten Sie einen Termin zur Beratung vereinbaren?